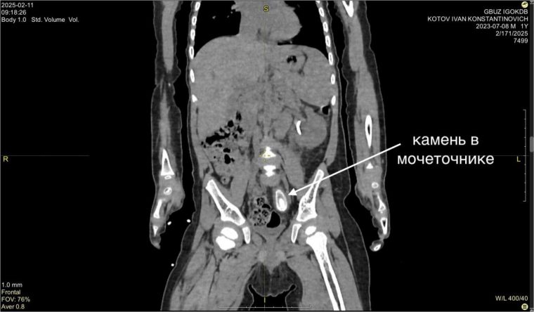
Камень в 3 см удалили из мочеточника маленького жителя Усть-Кута

Сложную операцию провел знаменитый на весь мир иркутский хирург, главный врач Иркутской областной детской клинической больницы Юрий Козлов.

post-22771 thumbnail
  • 12:05
  • 27.03.2025
  • ОбществоУсть-Кут
  • 0
  • 630

Первые признаки заболевания жительница Усть-Кута обнаружила у сына Вани еще в декабре прошлого года. На обследовании в Иркутске поставили диагноз — большой камень в нижней трети левого мочеточника размером около 3 на 1,5 см и вызванный им блок почки.

Размер камня удивил медиков — это нетипично для таких маленьких пациентов.

— Попытка внутрипросветного лечения была безуспешна — устье мочеточника не пропускало даже самую маленькую оптическую систему цистоскопа. После месяца непростого лечения с использованием нескольких антибиотиков была выполнена операция с применением нашего излюбленного подхода без разрезов — лапароскопии, — рассказывает Юрий Козлов.

Операция прошла успешно, и сегодня Ваня чувствует себя прекрасно.

Администрация УКМО

Данное сообщение (материал) создано и (или) распространено некоммерческими организациями и (или) средствами массовой информации, требующими полной отмены законодательства об иностранных агентах

Вы сможете добавить комментарий после авторизации

Присоединяйтесь! Мы в социальных сетях:

Вам также может быть интересно:

post-30803 thumbnail

#Топ новостькоррупцияПолитикаУсть-Кут

Настоящего гада избрали председателем думы Усть-Кутского района

Депутата с самой позорной репутацией, выбрали председателем Думы района Первое заседание новой Думы района, закончилось ожиданиями, ранее нами озвученными. Теперь муниципальные власти перестали стесняться общественного мнения и очевидных фактов и делают с послушным большинством депутатов, все что захотят. Оно и понятно, так как практически каждый из 18 провластных депутатов, попал в Думу благодаря подвозам, организованным политтехнологами ИНК. Выбор председателем Думы Александра Красноштанова, только зафиксировал глубокий кризис местного самоуправления в районе. Ведь человек, вравший  в суде и обворовывавший местный бюджет в течении нескольких лет, и тем не менее ставший по рекомендации мэра председателем депутатского сообщества, это конечно же позор всей власти. В которой не нашлось более достойного и не замаранного в откровенно гадских поступках кандидата. Напомним, что в прошлом году, достоянием общественности стали факты, что Красноштанов с Анисимовым под видом гостиницы в Иркутске, снимали за счет бюджета района квартиру. По факту в ней бесплатно жила семья Красноштанова, и  когда это выявила прокуратура, аферисты быстро внесли деньги в кассу администрации, компенсировав ущерб от махинации. Кстати, выдвинула гада на должность председателя Думы, другая полукриминальная личность, в свое время избежавшая тюрьмы и вместо себя посадившая туда сына. Это новая депутатка и по профессии врачиха Ольга Тарбеева, Вот наша статья на иркутском портале Бабр за 2017 год про нее: "....В Усть-Кутском роддоме торговали наркотиками Усть-Кутский городской суд вынес приговор сыну заведующей местным отделением роддома Ольги Тарбеевой и её заместителю. Пользуясь положением, Николай Тарбеев и Оксана Антипина торговали больничными листами и наркотическими препаратами прямо в здании медучреждения, сообщает «Усть-Кут 24». Также выяснилось, что Антипина уже привлекалась за аналогичные преступления во время работы в Ангарске. Суд приговорил Тарбеева к четырем годам строгого режима, Антипину – лишь к штрафу в 50 тысяч рублей.
На фото: сын заведующей усть-кутского роддома Николай Тарбеев. Источник: соцсети На суде обвиняемые отрицали участие в преступлениях Ольги Тарбеевой. Ранее Бабр сообщал о том, что Тарбеева, являясь единственным квалифицированным врачом в отделении, уже написала заявление об увольнении в связи со скандалом. Таким образом, Усть-Кутский роддом понес серьезные кадровые потери: персонал отделения составляют лишь медицинские сестры...." После этого Тарбеева еще раз налетела на уголовку и в 2021 году и привлекалась к уголовной ответственности, за причинение смерти по неосторожности. Ее не осудили только потому, что по статье 109 УК РФ, вышел срок давности за такое преступление, хотя ребенок погиб при родах по ее вине и следствие это доказало. Впрочем, ИНК именно такие депутаты-гады и нужны в Думе, так как они точно не станут задавать лишних вопросов и всегда будут послушны внешнему управлению. Вопрос о том, будет ли доверие к такой Думе у населения, остается открытым. Ариэль Эмет Специально для «УК24» фото: из открытых источников Канал в Телеграмм Наш Инстаграм Страничка в Одноклассник    
1098
0
02.10.2025 в 09:30
post-30780 thumbnail

#Топ новостьВойна с УкраинойПолитикаСтранаУсть-Кут

Список погибших в Украине жителей Усть-Кута на 01 октября 2025 год

Продолжаем ежемесячную публикацию списков погибших в Украине жителей нашего района, а так же сведений о пропавших без вести. Будем обновлять эти данные раз в месяц. Жирным шрифтом и курсором будут выделять фамилии вновь добавлены
Военнослужащие заключившие контракт с Министерством обороны России:
  1. Бакулин Сергей Александрович
  2. Олейников Павел Сергеевич
  3. Степанов Владимир Владимирович
  4. Файдуков Илья Александрович 2001 г.р.
  5. Тимкин Иван Валерьевич 1985 г.р.
  6. Дядькин Андрей Владимирович 1975 г.р.
  7. Железняк Олег Степанович 1973 г.р.
  8. Цыба Алексей Александрович 2001 г.р.
  9. Харитонов Анатолий Сергеевич 1979 г.р.
  10. Шестаков Александр Викторович 1991 г.р.
  11. Габелая Заза Зазавич 2001 г.р.
  12. Рыбаков Владислав Игоревич 2001  г.р.
  13. Мартюшов Владимир Николаевич 2000 г.р.
  14. Саклаков Петр Сергеевич 1990 г.р.
  15. Белянин Вячеслав Юрьевич 1975 г.р.
  16. Ветошкин Александр Геннадьевич 1982 г.р.
  17. Давыдов Сергей Викторович 1969 г.р.
  18. Новокрещеной Алексей Викторович 1995 г.р.
  19. Гончаров Виктор 1994 г.р.
  20. Кононенко Александр Николаевич
  21. Злобин Анатолий Алексеевич 1989 г.р.
  22. Таюрский Богдан 1999 г.р.
  23. Салтыков Максим Игоревич 2002 г.р.
  24. Шевченко Андрей Александрович 1998 г.р..
  25. Купчин Алексей Юрьевич 1986 г.р.
  26. Власов Игорь Владимирович 1991 г.р.
  27. Суров Никита Александрович 1999 г.р.
  28. Тумаков Алексей Александрович 1979 г.р.
  29. Ермилов Александр Владимирович 1967 г.р.
  30. Силкин Артем Андреевич 1994 г.р.
  31. Ошурков Антон Васильевич 1994 г.р.
  32. Петухаев Геннадий Юрьевич 1975 г.р.
  33. Соболевский Степан Андреевич 1993 г.р.
  34. Паплюга Вячеслав Михайлович 1975 г.р.
  35. Мошкин Евгений Юрьевич 1977 г.р.
  36. Шага Анатолий Анатольевич 1981 г.р.
  37. Салахов Арсен Абдуламидович 1969 г.р.
  38. Сипко Александр Валерьевич 1985 г.р.
  39. Раков Вадим Михайлович 1993 г.р.
  40. Фридман Александр Артурович 2001 г.р.
  41. Перфильев Алексей Юрьевич 1980 г.р.
  42. Салюк Никита Геннадьевич 1991 г.р.
  43. Учеваткин Георгий Иннокентьевич 1987 г.р.
  44. Гилястин Рустам Викторович 1977 г.р.
  45. Егоров Василий Александрович 1993 г.р.
  46. Суханов Виталий Сергеевич 1988 г.р.
  47. Таюрский Иван Алексеевич 1978 г.р.
  48. Воротила Артем Николаевич 1982 г.р.
  49. Куклин Владимир Александрович 1987 г.р.
  50. Колесников Дмитрий Петрович 2000 г.р.
  51. Хрулев Александр Анатольевич 1973 г.р.
  52. Москвичев Александр Сергеевич 1993 г.р.
  53. Савичев Дмитрий Николаевич 1991 г.р.
  54. Шкребтиенко Даниил Михайлович 2002 г.р.
  55. Горячев Александр Александрович 1987 г.р.
  56. Караулов Кирилл Александрович 1994 г.р.
  57. Кузин Илья Михайлович 1992 г.р.
  58. Летягин Николай Владимирович 1974 г. р
  59. Ненаших Алексей Викторович 1983 г.р.
  60. Плаксин Владимир  Олегович1994 г.р.
  61. Загибов Ильдус Насихович 1984 г.р.
  62. Николаев Роман Николаевич 1999 г.р.
  63. Раздобреев Геннадий
  64. Куплено Виктор Александрович 1981 г.р.
  65. Саушин Виктор Юрьевич  1990 г.р.
  66. Таюрский Евгений Иннокентьевич 1988 г.р.
  67. Спиридонов Антон Сергеевич 1989 г.р.
  68. Порохоов Денис Евгеньевич 2000 г.р.
  69. Кочетков Алексей Леонидович 1980 г.р.
  70. Пуляевский Василий Валерьевич 1983 г.р.
  71. Марчел Скынтей Емануилович 1972 г.р.
  72. Зубов Юрий Юрьевич  1979 г.р.
  73. Колесниченко Андрей Вячеславович 1968 г.р.
  74.  Ходырев 1Игорь Валерьевич 1970 г.р.
  75. Власов Игорь 1991 г.р.
  76. Серов Андрей Владимирович 1988 г.р.
  77. Силкин Семен 1994 г.р.
  78. Шатаев Станислав Русланович 1993 г.р.
  79. Ушаков Максим Олегович 2003 г.р.
  80. Хвостов Евгений Владимирович 1979 г.р.
  81. Гордиевский Максим Сергеевич 1987 г.р.
  82. Лапин Валерий Владимирович 1973 г.р.
  83. Морозов Юрий Васильевич 1997 г.р.
Мобилизованные из запаса военнослужащие:
  1. Кулаков Алексей Витальевич
  2. Могилевич Руслан Георгиевич
  3. Пакулько Виктор Васильевич
  4. Сажин Вячеслав Валерьевич 1990 г.р,
  5. Козельский Денис Геннадьевич 1981 г.р.
  6. Левицкий Григорий Вячеславович 1986 г.р.
  7. Фомин Алексей Романович 1994 г.р.
  8. Морозов Никита Александрович 1996 г.р.
  9. Баскумбаев Алексей Молдабекович 1978 г.р.
  10. Зырянов Алексей Раисович 1977 г.р.
  11. Шендрик Роман Валентинович 1979 г.р.
  12. Бриченко Андрей Александрович 1982 г.р.
  13. Хохлов Игорь Сергеевич 1999 г.р.
  14. Крамник Сергей Владимирович 1983 г.р.
  15. Иванов Алексей Николавевич 1986 г.р.
  16. Толстиков Вячеслав Леонидович 1994 г.р.
  17. Антипин Иван Андреевич 1983 г.р.
  18.  Шутов  Сергей Евгеньевич 2000 г.р.
  19. Барахтенко Олег Иванович 1978 г.р.
  20. Мелентьев Павел Викторович 1984 г.р.
  21. Белозерцев Никита Павлович 1989 г.р.
  22.  Корнейчук Валерий Александрович 1978 г.р.
  23. Антипин Алексей Александрович 1989 г.р.
  24. Лобынцев Сергей Владимирович 1980 г.р.
  25. Ефимов Владимир Александрович 1983 г.р.
  26. Шамкин Виталий Михайлович 1980 г.р.
  27. Зверев Роман Александрович 1977 г.р.
  28. Лютиков Евгений Сергеевич 1989 г.р.
  29. Бабин Евгений Борисович 1992 г.р.
  30. Антипин Алексей Геннадьевич 1982 г.р.
  31. Скуратов Константин Федорович 1974 г.р.
  32. Дроздов Валерий Юрьевич 1995 г.р.
  33. Быков Михаил Александрович 1980 г.р.
  34. Чугунов Антон Геннадьевич 1985 г.р.
  35. Мананков Олег Сергеевич 1978 г.р.
  36. Дубовик Сергей Владимирович 1975 г.р.
  37. Коркин Владимир Валерьевич 1983 г.р.
  38. Григорьев Валерий Валерьевич 1984 г.р.
  39. Крамаренко Сергей Юрьевич 1981 г.р.
  40. Бударин Александр Игоревич 1990 г.р.
  41. Красноштанов Роман Евгеньевич 1990 г.р.
  42. Лунегов Сергей Павлович
  43. Червиевский Денис Григорьевич 1987 г.р
  44. Смертеев Семен  Петрович 1990 г.р.
  45. Солодов Александр Анатольевич 1983 г.р.
  46. Гриднев Денис Сергеевич 1978 г.р.
  47. Таюрский Александр Викторович 1975 г.р.
  48. Семидельский Владимир Николаевич 1978 г.р.
  49. Слепцов Александр Сергеевич 1986 г.р.
  50. Вилков Андрей Иванович 1988 г.р.
  51. Дудник Сергей Александрович
  52. Кокшаров Максим Павлович 1978 г.р.
  53. Назаров Денис Александрович 1993г.р.
Наемники, заключившие контракт с ЧВК Вагнер:
  1. Барахоев Леонид Иннокентьевич
  2. Бушмакин Максим Сергеевич
Заключенные, завербованные ЧВК Вагнер из колоний ФСИН:
  1. Архипов Сергей Александрович
  2. Вейс Владимир Владимирович
  3. Ермилов Александр Сергеевич
  4. Курбанов Сенан Камран оглы
  5. Потапов Вадим Сергеевич
  6. Старцев Алексей Олегович
  7. Степанов Евгений Александрович 1986 г.р.
  8. Таюрский Алексей Геннадьевич
  9. Хартиков Дмитрий Владимирович 1981 г.р.
  10. Колесов Денис Андреевич 1998 г.р.
  11. Геннадий Гербольд 1978 г.р.
  12. Трусков Алексей Анатольевич
  13. Метрус Руслан Сергеевич 1984 г.р.
Заключенные, завербованные из колоний ФСИН в «Шторм-Z»:
  1. Сафронов Михаил Сергеевич 1985 г.р.
  2. Бурундуков Владимир Андреевич 2001 г.р.
  3. Кардаев Рахман Магомедович 1982 г.р.
  4. Горячкин Владимир Андреевич 1987 г.р.
  5. Тихонов Александр Павлович 1987 г.р.
  6. Хайсаров Олег Владимирович 1999 г.р.
Итого на сегодняшний день документально зафиксирована гибель 157 жителей Усть-Кутского района, во время боевых действий на территории Украины. К сожалению, это не полный список погибших и редакция располагает данными еще на 4 жителей нашего района, которые числятся пропавшими без вести. Плюс нет никаких данных  о многих заключенных из ФСИН, завербованных в Шторм-Z  и убывших в подразделения. Где они сейчас неизвестно, но есть большая вероятность, что они погибли и их тела находятся в распоряжении украинской стороны. Мы по своим каналам пытаемся выяснить судьбу всех пропавших без вести устькутян и делаем запросы в официальные органы Украины по каналам коммуникации с волонтерскими структурами и через Красный Крест в Польше. Вполне возможно, что некоторые из пропавших без вести живы и находятся в плену или госпиталях для военнопленных. Напомним, что из Усть-Кута было мобилизовано 238 военнослужащих запаса в сентябре 2022 года, из низ 43 человека ушли добровольцами. Еще 100 человек из Усть-Кута, заключили контракт с Минобороны, по состоянию на 01.01.2025 года Команда «УК24» PS. Если у вас есть информация о погибших устькутянах не указанных у нас в списке, можете написать нам на почту centr_for_ca@mail.ru  и проверив информацию мы пополним список PSS. Редакция «Усть-Кут24» не поддерживает войну с Украиной и считает ее не справедливой и откровенно колониальной. Должностные лица России развязавшие войну, должны предстать перед судом и понести наказание  
 
2180
0
01.10.2025 в 10:33
post-30750 thumbnail

#Топ новостьКриминалПроисшествияУсть-Кут

Двух закладчиц поймали в Усть-Куте

Полиция Усть-Кута пресекла деятельность подозреваемых в незаконном обороте наркотиков Их поймали рядом с лесом. Оперативники заметили машину «Тойота Лэнд Крузер Прадо», которая выезжала из лесного массива, и остановили ее для проверки. У пассажира машины оперативники изъяли сверток с порошкообразным веществом белого цвета. Экспертиза показала, что это синтетический наркотик. После полиция установила, что 42-летняя местная жительница, ранее судимая за хранение запрещенных веществ, через интернет-магазин реализовывала наркотики. В ее телефоне оперативники нашли фотографии геолокаций выполненных тайников, а дома — упаковочный материал, электронные весы другие предметы. На подозреваемую завели дело по части 3 статьи 30 части 1 статьи 228.1 УК РФ (покушение на незаконный сбыт наркотических средств) и части 2 статьи 228 УК РФ (незаконные приобретение, хранение, перевозка, изготовление, переработка без цели сбыта наркотических средств, психотропных веществ или их аналогов). И заключили под стражу. Оперативники установили также причастность 34-летней женщины, которая была за рулем иномарки, сообщили в пресс-службе ГУ МВД России по Иркутской области. ИА «Иркутск Сегодня»
2904
0
30.09.2025 в 15:18
post-30687 thumbnail

#Топ новостьПолитикаУсть-КутЭкономика

В Усть-Куте ожидается проблемный отопительный сезон. Жители трех микрорайонов будут мерзнуть

Три городские котельные на древесных отходах, могут испытывать проблемы с сырьем в связи с консервацией лесопереаботки в бывшей ТСЛК Мы пока не знаем, о чем думает мэр района, но точно не о грядущих проблемах с отопительным сезоном в Усть-Куте. После закрытия лесопереаботки в филиале СЕГЕЖА групп, две котельных на щепе Биоресурса в Мостооряде и на Западном районе, спешно ищут поставщиков сырья. Пока им удалось заключить предварительный договор с Леналессервисом, но не факт что их мощностей хватит для бесперебойной работы котельных Биоресурса,  особенно в морозы. Что касается котельной в РЭБе, то они собираются использовать прошлогоднее прелое сырье ТИМБЕРа, складированное на территории бывшей Микуры. Его по расчетом должно хватить до весны, но не факт, что теплоотдача от лежалых опилок, будет соответствовать параметрам теплоносителя. Так что жителями Мостоотряда, РЭБа и Старого Усть-Кута, нужно быть готовыми к холодным квартирам в морозы. Кроме этого, на эти теплоисточники запитаны городской Детский дом и две школы, которые на пониженных параметрах не смогут работать. Судя по всему, у мэра и его присных, на этот счет нет никаких планов по стабилизации ситуации и они предпочитают пока об этом помалкивать. Стратегия сильно спорная и с элементом надежды на чудо, которое маловероятно. Тем не менее, будем надеяться, что этим фактом заинтересуется прокуратура, так как ранее до 90% сырья на городские  котельные, работающие на древесных отходах, поставляла именно бывшая ТСЛК. Ариэль Эмет Специально для «УК24» фото: из открытых источников Канал в Телеграмм Наш Инстаграм Страничка в Одноклассник  
1559
0
29.09.2025 в 09:19